Common Eye Issues
Many experience minor or serious eye problems. Early care, home remedies, or specialist attention can help maintain healthy vision.
Eye Conditions
Most people have eye problems at one time or another. Some are minor and will go away on their own, or are easy to treat at home. Others need a specialist's care. Whether your vision isn't what it used to be, or never was that great, there are things you can do to get your eye health back on track. Below are some of the more common eye conditions. If your symptoms are really bad or don't clear up within a few days, then you should schedule an appointment with us.
Amblyopia (Lazy Eye)
Commonly called "lazy eye," amblyopia can be treated successfully if detected early enough in childhood.
Learn More
Astigmatism
Often mistakenly called "stigmatism," this common vision problem can be corrected with eyeglasses, contact lenses or refractive surgery.
Learn More
Blepharitis
Red, swollen eyelids and crusty debris at the base of your eyelashes are signs you may have blepharitis.
Learn More
Cataracts
Cataracts are a common cause of vision loss after age 55. Surgical correction is safe and effective, and offers several new options for better vision.
Learn More
Cornea Transplant
People with serious vision problems from an eye injury or disease affecting the front surface of the eye can often regain vision with a cornea transplant.
Learn More
Diabetic Retinopathy
If undetected or uncontrolled with medication, diabetes can cause serious vision loss, even blindness.
Learn More
Dry Eyes
Dry eye syndrome (DES or dry eye) is a chronic lack of sufficient lubrication and moisture on the surface of the eye.
Learn More
Floaters & Spots
'Floaters' are usually normal and harmless. But if you notice a sudden increase in floaters or floaters accompanied by flashes of light, see your eye doctor immediately.
Learn More
Glaucoma
Glaucoma is a variety of disorders in the eye that can lead to loss of vision and even blindness. The most common type of glaucoma is caused by a gradual and painless rise of pressure inside the eye.
Learn More
Keratoconus
This eye disease causes the cornea to grow thinner and bulge forward in an irregular cone-shape. Treatment options range from gas permeable contact lenses to a cornea transplant.
Learn More
Macular Degeneration
Macular degeneration is an age-related disease that damages the macula, causing central vision loss while peripheral vision usually remains intact.
Learn More
Ocular Hypertension
You“ve heard of high blood pressure, but what about high eye pressure?
Learn More
Pingueculae
Pingueculae and pterygia are funny-looking words for growths on the surface of your eye.
Learn More
Pink Eye (Conjunctivitis)
Pink eye causes redness, discharge or itching; types include viral, bacterial, allergic, with treatments based on cause.
Learn More
Ptosis
Ptosis (pronounced "toe-sis") refers to the drooping of an eyelid. It affects only the upper eyelid of one or both eyes.
Learn More
Retinal Detachment
Retinal detachment is painless, vision-threatening, requires urgent surgery; early treatment improves outcomes.
Learn More
Retinitis Pigmentosa
These inherited disorders, commonly abbreviated as RP, cause progressive peripheral vision loss, night blindness and central vision loss.
Learn More
Styes
This common problem is simply an infected lid gland. Learn how to prevent and treat styes.
Learn More
Uveitis
This inflammatory eye disease can cause permanent vision loss if not promptly treated.
Learn MoreAmblyopia
Amblyopia, which is also called “lazy eye“, is a disorder that affects the visual development in children. It is difficult to correct just with the use of contact lenses, or eyeglasses. Ambylopia can cause vision loss if it is not treated early and properly. This vision disorder affects 2-3% of the population.
What are the symptoms of Amblyopia?
Usually children that are born with amblyopia, the symptoms start in early childhood. Some signs in children are squinting, closing one eye in order to see better, poor general vision, headaches, and eyestrain. Usually caretakers such as parents, caregivers, doctors, or nurses notice these symptoms and recommend the child for treatment.
What are the causes of Amblyopia?
Strabismus is usually the cause of amblyopia. Strabismus is the eyes aligning incorrectly. It can also be caused when there is a large difference between the eyes in refractive errors (prescription much higher in one eye than the other). For example, one eye is nearsighted, while the other is farsighted. If amblyopia is not treated, the brain will learn to disregard the vision in the eye with amblyopia. The eye that is disregarded does not grow with clear image and vision loss can be permanent. This is why it is very important to get early treatment and take your child to see your eye doctor if any signs are apparent.
How is Amblyopia treated?
There are several treatments for amblyopia, depending on the cause. Often children are treated using vision therapy, which usually includes a patch on the better eye. Other treatments are atropine eye drops, correct prescription eyeglasses, or surgery.
Vision Therapy
Vision therapy consists of eye exercises, which aim to teach the eyes to work together. In cases of amblyopia, the exercises require the brain to recognize the affected eye, which restores vision in that eye. Some doctors place a patch over the more functional eye, which forces the less functional eye to work harder and become stronger. The patch is generally worn for a few hours a day. Depending on the severity of the condition, treatment can last for weeks or months. Some children refuse to wear a patch, in those cases, a prosthetic contact lens is available. These contact lenses look like the regular eye, and are designed to block vision in that eye.
Atropine drops
Some doctors use atropine eye drops to treat amblyopia. These drops blur vision in the child“s better eye, forcing the weaker eye to work harder and get stronger. In the morning, one drop is instilled under eye doctor“s instructions. The advantage to this method of treatment is that the patch is avoided.
Prescription eyeglasses
If your child has developed amblyopia because of uncorrected vision, sometimes all that is needed is a pair of eyeglasses. When there is strong uncorrected prescription, or when there is a large difference in prescription between the two eyes, sometimes amblyopia can result. Your eye doctor may recommend eye patch therapy in addition to corrective lenses.
Surgery
Strabismus surgery is usually required if the amblyopia is due to a large eye turn. This type of surgery aligns the eyes and corrects the problem within the eye muscles. After the surgery the eyes will able to focus better. Additional vision therapy may be required after strabismus surgery.
Amblyopia must be treated as early as possible as there is no chance that it will resolve by itself. Untreated, it can lead to permanent vision loss in that eye and reduced depth perception. Amblyopia needs to be treated promptly so that your child can have the best vision possible in childhood and later in life. When amblyopia is diagnosed and treated before age 9, the weaker eye can often develop significantly better vision. The most critical time to treat amblyopia is from 3 to 6 years of age. If you or anyone sees any signs of amblyopia, contact Optima Eyecare to find the best treatment for your child.
Astigmatism
Many people have never heard of astigmatism, although it is an extremely common eye condition.
Astigmatism is one type of refractive error. Nearsightednessand farsightednessare other types of refractive error. Refractive errors are not eye diseases. Refractive error is a result of and imperfection of the size and shape of the eye, which results in blurry or double vision.
If left untreated, it may cause eyestrain, headaches, and blurry vision. If you have astigmatism you may not see objects in the distance or near without some form of distortion.
Symptoms of Astigmatism
Small amounts of astigmatism can go unnoticed, however, you may be suffering from eye fatigue, eyestrain, and headaches.
Astigmatism is a condition that usually can develops early in childhood. According to a study from The Ohio State University School of Optometry, 28% of school age children suffer from astigmatism. Parents should be aware that their children might not notice that their vision is blurry, not understanding that this is not normal. Nevertheless, it should be treated because vision problems can lead to learning problems and in extracurricular activities. Make sure to have your child’s eyes examinedat our office at least once a year.
Causes of Astigmatism
Astigmatism is generally caused by a cornea with an irregular shape. The cornea is the front, clear layer of the eye. With astigmatism, the cornea is not round and spherical and is instead irregular having two curves instead of one curve. Astigmatism in some cases could also be caused by the lens located inside the eye that is irregular in shape.
Eyes with astigmatism distort the light that comes into the eyes because the cornea is irregularly shaped. This causes the light rays entering the eye to create two images in the back of the eye (because of the two curves), instead of one image. This is what causes the distortion in sight.
Treatments for Astigmatism
For most people, their astigmatism is fully corrected using prescription glasses or contact lenses. If you select contact lensesto correct your vision, soft contact lenses are the most common option. If for whatever reason soft contact lenses are not an option, rigid gas permeable (RGP or GP) are also a great choice. Rigid gas permeable lenses usually give the clearest vision but the adaptation process will be significantly longer. Another option are hybrid contact lenses. These contacts have a center made from a rigid gas permeable (RGP) lens and an outer ring made of soft contact lens material. This type of lens provides both excellent clarity and comfort. LASIK could be another option to correct astigmatism. LASIK usually only corrects low levels of astigmatism and some patients with higher levels of astigmatism might not be candidates.
Blepharitis
Blepharitis is an eye condition characterized by an inflammation of the eyelids which causes redness, itching and irritation. The common eye condition is caused by either a skin disorder or a bacterial infection. Blepharitis is generally not contagious and can affect patients of any age. While it can be very uncomfortable, it usually does not pose any danger to your vision.
There are two types of blepharitis: anterior and posterior.
Anterior blepharitis occurs on the front of your eyelids in the area where the eyelashes attach to the lid. This form is less common and is usually caused by a bacterial infection or seborrheic dermatitis, which is a skin disorder (dandruff) that causes flaking and itching of the skin on the scalp and eyebrows. While it is more rare, allergies or mites on the eyelashes can also lead to this condition.
Posterior blepharitis occurs on the inner eyelid that is closer to the actual eyeball. This more common form is often caused by rosacea, dandruff or meibomian gland problems which affect the production of oil in your eyelids.
Symptoms of Blepharitis
Blepharitis can vary greatly in severity and cause a variety of symptoms which include:
- Red, swollen eyelids
- Itching
- Burning or gritty sensation
- Excessive tearing
- Dry eyes
- Crusting on eyelids
If left untreated, symptoms can become more severe such as:
- Blurred vision
- Infections and styes
- Loss of eyelashes or crooked eyelashes
- Eye inflammation or erosion, particularly the cornea
- Dilated capillaries
- Irregular eyelid margin
Treatment for Blepharitis
Treatment for blepharitis depends on the cause of the condition but a very important aspect is keeping the eyelids clean. Warm compresses are usually recommended to soak the lids and loosen any crust to be washed away. It is recommended to use a gentle cleaner (baby soap or an over the counter lid-cleansing agent) to clean the area.
For bacterial infections, antibiotic drops or ointments may be prescribed, and in serious cases steroidal treatment (usually drops) may be used.
Blepharitis is typically a recurring condition so here are some tips for dealing with flare-ups:
- Use an anti-dandruff shampoo when washing your hair
- Massage the eyelids to release the oil from the meibomian glands
- Use artificial tears to moisten eyes when they feel dry
- Consider breaking from use of contact lenses during the time of the flare-up and or switching to daily disposable lenses.
The most important way to increase your comfort with blepharitis is by keeping good eyelid hygiene. Speak to our doctors about products that we recommend.
Cataracts
Cataracts are one of the leading causes of vision loss in people over 45. A condition that commonly develops as the eye ages, by the time we reach 80, more than half of us will have developed a cataract.
A cataract is a clouding of the lens in your eye which is normally transparent. The lens, located inside the eye, behind the iris and the pupil, focuses light onto the retina at the back of your eye, where it is converted to nerve signals that are passed to the brain, allowing you to see. When your lens becomes cloudy, the images projected onto your retina become blurry and unfocused and therefore the signal to the brain is also unclear. You can compare this to looking through a dirty or cloudy window. If the window is not clear, you can“t see well.
Usually cataracts develop slowly over time so your vision gradually worsens. While the majority of cases are a result of the aging process, there are also congenital cataracts that are present at birth, secondary cataracts that result from eye surgery or diseases such as glaucoma or diabetes and traumatic cataracts that result at any age from an injury to the eye.
While you may be able to live with mild or moderate cataracts, severe cataracts are treated with surgery. The procedure involves removing the clouded lens and replacing it with an intraocular lens (IOL) implant. Cataract surgery is a common procedure that has a very high success rate of restoring vision to patients. Modern surgery is frequently done as an outpatient procedure. Patients will have greatly improved vision the next day, and will continue to improve over the next few weeks. Surgery is often done in one eye first, and surgery on the second eye, if needed, may be done 2 weeks later.
CMV Retinitis
CMV Retinitis Signs and Symptoms
AIDS patients sometimes also experience changes to the retina and optic nerve without clear signs of CMV retinitis.
What causes CMV retinitis?
CMV retinitis is caused by the cytomegalovirus, which is a very common virus. About 80% of adults harbor antibodies to CMV, which indicates their bodies have successfully fought it off. The difference for people who have AIDS is that their weakened or non-functioning immune system cannot stave off this virus. Other people with a weakened or suppressed immune system, such as those undergoing chemotherapy or a bone marrow transplant, are also at risk.
How is CMV retinitis treated?
If you have active AIDS and are experiencing visual symptoms, you should see a retina specialist immediately. A person newly-diagnosed with CMV retinitis can expect to visit the specialist every two to four weeks.
Once the disease is controlled, the retina specialist may recommend follow-up visits with your regular eye doctor every three to six months.
Drugs for CMV retinitis. Anti-viral drugs commonly used to treat CMV retinitis are ganciclovir (Cytovene), foscarnet (Foscavir) and cidofovir (Vistide). These medications can slow down the progression of CMV, but they can't cure it. These potent anti-viral drugs can also cause unpleasant or serious side effects.
Ganciclovir is available in a pill, used following two weeks of intravenous infusion, and also in an implant called Vitrasert. The implant releases medication directly into the eye, so it doesn't cause the side effects experienced with intravenous infusion or with the pill.
Drugs for HIV. The biggest breakthrough in AIDS treatment is highly active antiretroviral therapy (HAART), a combination of drugs that suppress the human immunodeficiency virus (HIV), also known as the AIDS virus. HAART allows your immune system to recover and fight off infections like CMV retinitis.
AIDS is a serious global health problem. If you have AIDS, are HIV positive or have a compromised immune system from other causes, see your eye doctor frequently to rule out CMV retinitis and to discuss the latest treatment options if a CMV-related eye problem is detected.
For more information on eye diseases, visit Optima Eyecare.
Cornea Transplant
A cornea transplant, also known as keratoplasty or a corneal graft, replaces damaged tissue on the clear front surface of the eye.
When disease or injury damages the cornea, eyesight is affected. Light that enters the eye becomes scattered, resulting in blurred or distorted vision. When the cornea is extremely scarred or damaged, a corneal transplant is needed to restore functional vision.
Keratoplasty is performed routinely and is regarded as the most successful of all tissue transplants. According to the National Keratoconus Foundation, over 40,000 cornea transplants are done annually in the United States.
In recent years, an innovative type of corneal transplant has gained popularity. Known as Descemet“s Stripping Endothelial Keratoplasty (DSEK), this new procedure removes a smaller and thinner portion of the cornea. In 2009, DSEK was declared by the American Academy of Ophthalmology as superior to the conventional surgery because it may provide better vision outcomes and more eye stability. It is also associated with less risk factors. However, when the majority of the cornea is damaged, a more comprehensive removal may still be necessary to facilitate a successful transplant.
Criteria for a Corneal Transplant
A multitude of reasons indicate candidacy for a corneal transplant. Possible reasons include:
- Eye diseases, such as keratoconus
- Complications from laser surgery, such as LASIK
- Extreme inflammation on the cornea
- Scarring as a result of infections, such as eye herpes or fungal keratitis
- Thinning of the cornea and an irregular shaped cornea
- Hereditary factors
- Corneal failure due to previous surgical procedures
- Chemical burns or injuries that damaged to the cornea
Cornea Transplant Procedure
Once a patient has been recommended and approved for a corneal transplant to restore vision, the patient“s name is added to a list at an eye bank. The United States has a very advanced eye bank system, and the general wait time for a donor eye is one to two weeks. The tissue of donor corneas is checked for clarity and screened meticulously for disease before it is released for transplant.
The actual surgery is generally performed as an outpatient procedure that does not require hospitalization. General or local anesthesia may be used, depending upon the patient“s preference, age and health condition. Local anesthesia is injected into the skin surrounding the eye, which relaxes the muscles that control movement and blinking. Eye drops numb the eye itself.
Once the anesthesia has taken effect, the surgeon inspects and measures the damaged corneal area in order to decide upon the size of the transplantation. Eyelids are held open during this time. The surgeon then removes a round, button-shaped piece of the corneal tissue and replaces it with a nearly identical sized button of donor tissue. The new, healthy tissue is sutured into place. The entire procedure takes approximately one to two hours.
Following the surgery, a plastic shield must be worn over the eye in order to protect it against any inadvertent bumps or rubbing.
Rejection of the Corneal Graft
Although the vast majority of cornea transplants are successful, sometimes the new tissue is rejected. Warning signs of rejection include:
- Extreme sensitivity to light
- Redness
- Pain
- Decreased vision
These symptoms may be experienced as soon as one month after the surgery, or as delayed as five years later. Medications can be prescribed to reverse the rejection process. If the corneal graft fails completely, the transplant can be repeated and the outcome is generally positive. Yet the total rejection rates do increase with the total number of corneal transplants.
Recovery and Healing
It can take up to a year or longer to heal completely from a corneal transplant. At the beginning, vision is blurry and the transplant site is often swollen and thicker than the rest of the cornea. As vision returns, patients are able to return to normal daily tasks and most people can return to work within three to seven days after surgery. However, heavy lifting and exercise must be avoided for the first few weeks.
To help the body accept the corneal graft, steroid eye drops must be applied for several months. A pair of eyeglasses or a protective shield must also be worn for eye safety. Depending upon the health of the eye and the healing rate, stitches may be removed at any time from three months to more than a year later. Astigmatism often occurs as a result of an irregular corneal surface, and adjustments may be made to the sutures around the new cornea in an effort to reduce this problem.
Vision After a Cornea Transplant
Vision improvement after a cornea transplant is a process that can last up to one year later. Eyeglasses or contact lenses must be worn immediately after the surgery, since the curvature of the corneal transplant will not precisely match the natural corneal curve.
When healing is complete and stitches are removed, laser surgery may be indicated to correct vision. LASIK or PRK are both procedures that can help decrease dependence on eyeglasses or contacts. An irregular corneal surface may point to the need to wear rigid gas permeable (GP) contact lenses for vision correction.
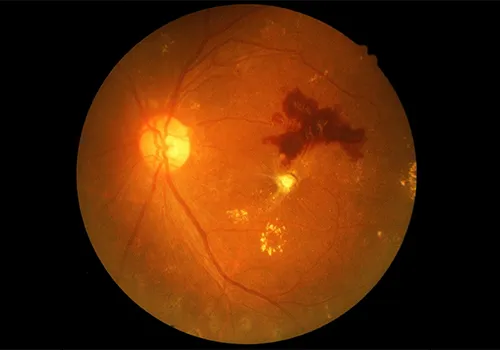
Diabetic Retinopathy
In its advanced stages, diabetes may lead to new blood vessel growth over the retina. The new blood vessels can break and cause scar tissue to develop, which can pull the retina away from the back of the eye. This is known as retinal detachment, and it can lead to blindness if untreated. In addition, abnormal blood vessels can grow on the iris, which can lead to glaucoma. People with diabetes are 25 times more likely to lose vision than those who are not diabetic, according to the American Academy of Ophthalmology.
Signs and Symptoms of Diabetic Retinopathy
Anyone who has diabetes is at risk for developing diabetic retinopathy, but not all diabetics will be affected. In the early stages of diabetes, you may not notice any change in your vision. But by the time you notice vision changes from diabetes, your eyes may already be irreparably damaged by the disease.
That's why routine eye exams are so important. Our eye doctors can detect signs of diabetes in your eyes even before you notice any visual symptoms, and early detection and treatment can prevent vision loss.
Floaters are one symptom of diabetic retinopathy. Sometimes, difficulty reading or doing close work can indicate that fluid is collecting in the macula, the most light-sensitive part of the retina. This fluid build-up is called macular edema. Another symptom is double vision, which occurs when the nerves controlling the eye muscles are affected.
If you experience any of these symptoms, see your eye doctor immediately. If you are diabetic, you should see Optima Eyecare at least once a year for a dilated eye exam, even if you have no visual symptoms.
If our eye doctors suspects diabetic retinopathy, a special test called fluorescein angiography may be performed. In this test, dye is injected into the body and then gradually appears within the retina due to blood flow. Your eyecare practitioner will photograph the retina as the dye passes through the blood vessels in the retina. Evaluating these pictures tells your doctor or a retina specialist if signs of diabetic retinopathy exist, and how far the disease has progressed.
What Causes Diabetic Retinopathy?
Changes in blood-sugar levels increase your risk of diabetic retinopathy, as does long-term diabetes. Generally, diabetics don't develop diabetic retinopathy until they have had the disease for at least 10 years. As soon as you've been diagnosed with diabetes, you need to have a dilated eye exam at least once a year.
In the retina, high blood sugar can damage blood vessels that can leak fluid or bleed. This causes the retina to swell and form deposits. This is an early form of diabetic retinopathy called non-proliferative or background retinopathy.
In a later stage, called proliferative retinopathy, new blood vessels grow on the surface of the retina. These new blood vessels can lead to serious vision problems because they can break and bleed into the vitreous, the clear, jelly-like substance that fills the interior of the eye. Proliferative retinopathy is a much more serious form of the disease and can lead to blindness.
Fortunately, you can significantly reduce your risk of developing diabetic retinopathy by using common sense and taking good care of yourself:
- Keep your blood sugar under good control.
- Maintain a healthy diet.
- Exercise regularly.
- Follow your doctor's instructions to the letter.
How is Ddiabetic Retinopathy Treated?
According to the American Academy of Ophthalmology, 95% of those with diabetic retinopathy can avoid substantial vision loss if they are treated in time.
Diabetic retinopathy can be treated with a laser to seal off leaking blood vessels and inhibit the growth of new vessels. Called laser photocoagulation, this treatment is painless and takes only a few minutes.
In some patients, blood leaks into the vitreous humor and clouds vision. The eye doctor may choose to simply wait to see if the clouding will dissipate on its own, or a procedure called a vitrectomy may be performed to remove blood that has leaked into the vitreous humor.
Dry Eyes
Dry eye syndrome (DES or dry eye) is a chronic lack of sufficient lubrication and moisture on the surface of the eye. Its consequences range from minor irritation to the inability to wear contact lenses and an increased risk of corneal inflammation and eye infections.
Signs and Symptoms of Dry Eye
Persistent dryness, scratchiness and a burning sensation on your eyes are common symptoms of dry eye syndrome. These symptoms alone may be enough for your eye doctor to diagnose dry eye syndrome. Sometimes, he or she may want to measure the amount of tears in your eyes. A thin strip of filter paper placed at the edge of the eye, called a Schirmer test, is one way of measuring this.
Some people with dry eyes also experience a “foreign body sensation“ “ the feeling that something is in the eye. And it may seem odd, but sometimes dry eye syndrome can cause watery eyes, because the excessive dryness works to overstimulate production of the watery component of your eye“s tears.
What Causes Dry Eyes?
In dry eye syndrome, the tear glands that moisturize the eye don“t produce enough tears, or the tears have a chemical composition that causes them to evaporate too quickly.
Dry eye syndrome has several causes. It occurs:
- As a part of the natural aging process, especially among women over age 40.
- As a side effect of many medications, such as antihistamines, antidepressants, certain blood pressure medicines, Parkinson“s medications and birth control pills.
- Because you live in a dry, dusty or windy climate with low humidity.
If your home or office has air conditioning or a dry heating system, that too can dry out your eyes. Another cause is insufficient blinking, such as when you“re staring at a computer screen all day.
Dry eyes are also associated with certain systemic diseases such as lupus, rheumatoid arthritis, rosacea or Sjogren“s Syndrome (a triad of dry eyes, dry mouth, and rheumatoid arthritis or lupus).
Long-term contact lens wear, incomplete closure of the eyelids, eyelid disease and a deficiency of the tear-producing glands are other causes.
Dry eye syndrome is more common in women, possibly due to hormone fluctuations. Recent research suggests that smoking, too, can increase your risk of dry eye syndrome. Dry eye has also been associated with incomplete lid closure following blepharoplasty “ a popular cosmetic surgery to eliminate droopy eyelids.
Treatment for Dry Eye
Dry eye syndrome is an ongoing condition that treatments may be unable to cure. But the symptoms of dry eye “ including dryness, scratchiness and burning “ can usually be successfully managed.
Your eyecare practitioner may recommend artificial tears, which are lubricating eye drops that may alleviate the dry, scratchy feeling and foreign body sensation of dry eye. Prescription eye drops for dry eye go one step further: they help increase your tear production. In some cases, your doctor may also prescribe a steroid for more immediate short-term relief.
Another option for dry eye treatment involves a tiny insert filled with a lubricating ingredient. The insert is placed just inside the lower eyelid, where it continuously releases lubrication throughout the day.
If you wear contact lenses, be aware that many artificial tears cannot be used during contact lens wear. You may need to remove your lenses before using the drops. Wait 15 minutes or longer (check the label) before reinserting them. For mild dry eye, contact lens rewetting drops may be sufficient to make your eyes feel better, but the effect is usually only temporary. Switching to another lens brand could also help.
Check the label, but better yet, check with your doctor before buying any over-the-counter eye drops. Your eye doctor will know which formulas are effective and long-lasting and which are not, as well as which eye drops will work with your contact lenses.
To reduce the effects of sun, wind and dust on dry eyes, wear sunglasses when outdoors. Wraparound styles offer the best protection.
Indoors, an air cleaner can filter out dust and other particles from the air, while a humidifier adds moisture to air that“s too dry because of air conditioning or heating.
For more significant cases of dry eye, your eye doctor may recommend punctal plugs. These tiny devices are inserted in ducts in your lids to slow the drainage of tears away from your eyes, thereby keeping your eyes more moist.
If your dry eye is caused by meibomian gland dysfunction (MGD), your doctor may recommend warm compresses and suggest an in-office procedure to clear the blocked glands and restore normal function.
Doctors sometimes also recommend special nutritional supplements containing certain essential fatty acids to decrease dry eye symptoms. Drinking more water may also offer some relief.
If medications are the cause of dry eyes, discontinuing the drug generally resolves the problem. But in this case, the benefits of the drug must be weighed against the side effect of dry eyes. Sometimes switching to a different type of medication alleviates the dry eye symptoms while keeping the needed treatment. In any case, never switch or discontinue your medications without consulting with your doctor first.
Treating any underlying eyelid disease, such as blepharitis, helps as well. This may call for antibiotic or steroid drops, plus frequent eyelid scrubs with an antibacterial shampoo.
If you are considering LASIK, be aware that dry eyes may disqualify you for the surgery, at least until your dry eye condition is successfully treated. Dry eyes increase your risk for poor healing after LASIK, so most surgeons will want to treat the dry eyes first, to ensure a good LASIK outcome. This goes for other types of vision correction surgery, as well.
Bruder Masks
Bruder Moist Heat Eye Compress opens oil glands and allows natural oils to flow back into the eye relieving discomfort from aging, contact lenses, use of digital devices and more.
The easy-to-use compress delivers an effective moist heat treatment. The mask is very simple to use, just microwave for 20-25 seconds and apply for about 10 minutes or as prescribed by your doctor.
The compress helps stabilize the tear film, improves oil gland function and slows tear evaporation. Properly hydrated and lubricated eyes can expel bacteria and debris more efficiently so your eyes will feel refreshed and rejuvenated.
- Safe for frequent use
- Self-hydrating “ no need to add water
- Anti-bacterial and non-allergenic
- Washable and reusable.
The mask has a patented design for optimum conformance and comfort. Unique pod design provides improved fit and performance. It is also available in a single eye model.
Supplements
We sell supplements for dry eye, including vitamins and minerals, to ensure your eye health.
Prescription Dry Eye Drops
Prescription eye drops increase your eyes“ natural ability to produce tears, thus combatting dry eye.
Eye Allergies
Allergy Signs and Symptoms
Common signs of eye allergies include: red, swollen, tearing or itchy eyes; runny nose; sneezing; coughing; difficulty breathing; itchy nose, mouth or throat, and headache from sinus congestion.
What Causes Eye Allergies?
Many allergens (substances that can evoke an allergic response) are in the air, where they come in contact with your eyes and nose. Airborne allergens include pollen, mold, dust and pet dander. Other causes of allergies, such as certain foods or bee stings, do not typically affect the eyes the way airborne allergens do. Adverse reactions to certain cosmetics or drugs such as antibiotic eyedrops also may cause eye allergies.
Eye Allergy Treatment
Avoidance. The most common "treatment" is to avoid what's causing your eye allergy. Itchy eyes? Keep your home free of pet dander and dust, and stay inside with the air conditioner on when a lot of pollen is in the air. If you have central air conditioning, use a high quality filter that can trap most airborne allergens and replace it frequently.
Medications. If you're not sure what's causing your eye allergies, or you're not having any luck avoiding them, your next step will probably be medication to alleviate the symptoms.
Over-the-counter and prescription medications each have their advantages; for example, over-the-counter products are often less expensive, while prescription ones are often stronger.
Eyedrops are available as simple eye washes, or they may have one or more active ingredients such as antihistamines, decongestants or mast cell stabilizers. Antihistamines relieve many symptoms caused by airborne allergens, such as itchy, watery eyes, runny nose and sneezing.
Decongestants clear up redness. They contain vasoconstrictors, which make the blood vessels in your eyes smaller, lessening the apparent redness. They treat the symptom, not the cause.
In fact, with extended use, the blood vessels can become dependent on the vasoconstrictor to stay small. When you discontinue the eyedrops, the vessels actually get bigger than they were in the first place. This process is called rebound hyperemia, and the result is that your red eyes worsen over time.
Some products have ingredients that act as mast cell stabilizers, which alleviate redness and swelling. Mast cell stabilizers are similar to antihistamines. But while antihistamines are known for their immediate relief, mast cell stabilizers are known for their long-lasting relief.
Other medications used for allergies include non-steroidal anti-inflammatory drugs (NSAIDs) or corticosteroids. In some cases, combinations of medications may be used.
Immunotherapy. You may also benefit from immunotherapy, in which an allergy specialist injects you with small amounts of allergens to help your body gradually build up immunity to them.
Eye Allergies and Contact Lenses
Even if you are generally a successful contact lens wearer, allergy season can make your contacts uncomfortable. Airborne allergens can get on your lenses, causing discomfort. Allergens can also stimulate the excessive production of natural substances in your tears that bind to your contacts, adding to your discomfort and allergy symptoms.
Ask our eye doctor about eyedrops that can help relieve your symptoms and keep your contact lenses clean. Certain drops can discolor or damage contact lenses, so ask your doctor first before trying out a new brand.
Floaters & Spots
If you see specks or what appears to be debris, or perhaps pieces of lint floating in your vision, these are “floaters“. They are usually harmless. They would be seen most easily while looking at a plain background, like a white wall or clear sky.
Floaters are in reality clumps of gel-like cells inside the vitreous “ the clear, jelly-like fluid that fills the inside of your eye. They look like webs, specks, strands, and other shapes. What you are seeing are in fact the shadows of floaters cast on the retina, the light-sensitive inner lining of the back eye panel.
Symptoms of Spots or Floaters
With a special eye light, our doctors will detect floaters in your eyes even if you don“t notice them yourself. If a shadowy shape or spot passes in your field of vision or near the side, you are seeing a floater. Because they are inside your eye and suspended within the gel-vitreous, they move with your eyes as you scan and try to see them.
What Causes the Spots or Floaters?
Some floaters are present forever as part of the eye“s development. Others can grow over time.
In middle age, the gel-vitreous begins to liquefy and contracts. Some parts of the vitreous form clumps or strands inside the eye. The vitreous pulls away from the back eye-wall causing a posterior vitreous detachment (PVD). PVD is a common cause of floaters.
Floaters are more common:
- With nearsightedness
- After cataract surgery
- After laser surgery of the eye
- During or after inflammation in the eye
Treatment for Spots and Floaters
As mentioned above, most spots and floaters are harmless and only annoy the visual field. Many fade away on their own to become insignificant. Some doctors may perform surgery to remove them, but this should be advised only in rare cases.
Flashes of Light
Flashes of light occur often in older people and are usually due to mechanical stimulation of photoreceptors when the gel-like vitreous “pulls“ on the light-sensitive retina. They may be an early warning sign predicting a detached retina “ a serious problem which could lead to blindness if not treated immediately.
Some experiences of light flashes appear as jagged lines or “wavy heat“ in both eyes, lasting 10-20 minutes. These types of flashes are usually caused by a spasm of the blood vessels in the brain, also called a migraine. If a headache follows the flashes, these are known as migraine headaches. Jagged lines or “heat waves“ however can and do occur without a headache. These light flashes are called an ophthalmic migraine -a migraine without a headache.
Are Spots Flashes, or Floaters Emergencies?
The sudden appearance of significant numbers of floaters, especially if accompanied by flashes of light or other vision disturbances, could indicate a retinal detachment or other serious problem in the eye. A study reported in the Journal of the American Medical Association in 2009 found that one in seven people with the sudden presence of eye floaters and flashes will have a retinal tear or detachment. If you suddenly see floaters, schedule an appointment with us immediately.
Glaucoma
Glaucoma is a leading cause of preventable vision loss and blindness in adults in the United States and Canada and the second leading cause of blindness in the World.
What is Glaucoma?
Glaucoma is actually a group of eye diseases that cause damage to the optic nerve due to an increase in pressure inside the eye or intraocular pressure (IOP). When detected in the early stages, it can often be controlled, preventing severe vision loss and blindness. However, symptoms of noticeable vision loss often only occur once the disease has progressed. This is why it is called “the sneak thief of sight“. Unfortunately, once vision is lost from the disease, it usually can“t be restored.
Treatments include medication or surgery that can regulate the IOP and slow down the progression of the disease to prevent further vision loss. The type of treatment depends on the type and the cause of the glaucoma.
Risk Factors
Prevention is possible only with early detection and treatment. Since symptoms are often absent, regular eye exams which include a glaucoma screening are essential, particularly for individuals at risk of the disease. While anyone can get glaucoma, the following traits put you at a higher risk:
- Age over 60
- Hispanic or Latino descent, Asian descent
- African Americans over the age of 40 (glaucoma is the leading cause of blindness in African Americans, 6-8 times more common than in Caucasians.)
- Family history
- Diabetics
- People with severe nearsightedness
- Certain medications (e.g. steroids)
- Significant eye injury (even if it occurred in childhood)
Signs and Symptoms of Glaucoma
Due to a buildup of pressure in the eye, glaucoma causes damage to the optic nerve which is responsible for transmitting visual information from the eye to the brain. How does glaucoma affect your vision?
The intraocular pressure caused by glaucoma can slowly damage the optic nerve, causing a gradual loss in vision. Vision loss begins with peripheral (side) vision, resulting in limited tunnel vision. Over time if left untreated, central vision will also be affected which will increase until it eventually causes total blindness. Unfortunately any vision that is lost from the optic nerve damage cannot be restored.
What are the Symptoms?
Typically, glaucoma sets in without any symptoms. At the early onset of the most common type of glaucoma “open angle“ glaucoma, vision remains normal and there is no pain or discomfort. This is why the disease is nicknamed the “sneak thief of sight“.
An acute type of glaucoma, called angle-closure glaucoma, can present sudden symptoms such as foggy, blurred vision, halos around lights, eye pain, headache and even nausea. This is a medical emergency and should be assessed immediately as the intraocular pressure can become extremely high and cause permanent damage within hours.
Types of Glaucoma
The primary forms of glaucoma are open-angle and narrow-angle, with open-angle being the most common type.
Primary open-angle glaucoma (POAG) gradually progresses without pain or noticeable vision loss initially affecting peripheral vision. By the time visual symptoms appear, irreparable damage has usually occurred, however the sooner treatment starts the more further vision loss can be prevented. When untreated, vision loss will eventually result in total loss of side vision (or tunnel vision) and eventually total vision loss.
Normal-tension glaucoma or low-tension glaucoma is another form of open-angle glaucoma in which the intraocular pressure remains within the normal level. The cause of this form of glaucoma is not known, but it is believed to have something to do with insufficient blood flow to the optic nerve, causing damage. Individuals of Japanese descent, women and those with a history of vascular disease or low blood pressure are at higher risk.
Angle-closure glaucoma can be a sudden increase in eye pressure causing severe pain, blurred vision, halos, nausea and headaches. The pressure is caused by a blockage in fluid at the front of the eye which is a medical emergency and should be treated immediately. Without prompt treatment to clear the blockage vision can be permanently lost.
Congenital glaucoma is an inherited form of the disease that is present at birth. The babies are born with a defect that slows the normal drainage of fluid out of the eye and are usually diagnosed by the time they turn one. In these cases there are typically some noticeable symptoms such as excessive tearing, cloudiness or haziness of the eyes, large or protruding eyes or light sensitivity. Surgery is usually performed with a very high success rate of restoring full vision.
Secondary glaucomas are complications that develop from eye surgeries, injuries or other medical conditions such as cataracts, tumors, or a condition called uveitis which causes inflammation. Uncontrolled high blood pressure or diabetes can result of another serious form called neovascular glaucoma.
Pigmentary glaucoma is a rare form in which pigment from the iris sheds and clogs the drainage of fluid from the eye resulting in inflammation and damage to the eye and drainage system.
Diagnosis and Treatment
Detecting Glaucoma
During a routine comprehensive eye exam to check for glaucoma, our eye doctors will dilate your eye to examine the optic nerve for signs of glaucoma and will also measure the intraocular pressure (IOP) with an instrument called a tonometer. Tonometry involves numbing the eye with drops and then gently pressing on the surface of the eye to measure the pressure. Since your IOP can fluctuate throughout the day and glaucoma can exist without elevated IOP this is not enough to rule out the disease. If there are signs of the disease, further testing will be performed.
Visual Field Test
A visual field test is designed to detect any blind spots in your peripheral or side field of vision. You will be asked to place your head in front of a machine while looking ahead and indicate when you see a signal in your peripheral field of view.
Our doctors may also measure the thickness of the cornea with an ultrasonic wave instrument in a test called pachymetry or use imaging techniques such as digital retina scanning or optical coherence tomography (OCT) to create an image of your optic nerve to look for glaucoma damage.
Treating Glaucoma
Early detection and treatment is essential to stopping or slowing the disease progression and saving vision. Treatment depends on the type and severity of the disease and can include medication such as eye drops or pills or laser or traditional surgery.
Medication and drops to lower IOP are often the first resort for controlling pressure-related glaucoma. These drops may have some uncomfortable side effects, but compliance with the treatment plan is essential for preserving vision and halting the progression of the disease.
Surgical procedures are designed to control the flow of fluids through the eye by either decreasing the amount of fluid produced or improving the drainage. Your doctor may decide that a combination of surgery and medication will be the most effective in many cases.
It cannot be stressed enough that the most effective treatment for glaucoma happens when the disease is detected and treated early before significant vision loss occurs. Any vision that is lost can not be restored. This is why the best prevention is awareness by knowing your risks and taking responsibility by having your eyes examined on a regular basis. Schedule your eye exam with Optima Eyecare today.
Hyperopia
Hyperopia, also known as farsightedness, is a common type of refractive error where distant objects may be seen more clearly than objects that are near. However, people experience hyperopia differently. Some people may not notice any problems with their vision, especially when they are young. For people with significant hyperopia, vision can be blurry for objects at any distance, near or far.
Signs and Symptoms of Hyperopia
Farsighted people sometimes have headaches or eyestrain, and may squint or feel fatigued when performing work at close range. If you get these symptoms while wearing your glasses or contact lenses, you may need an eye exam and a new prescription.
What Causes Hyperopia?
Farsightedness occurs when light rays entering the eye focus behind the retina, rather than directly on it. The eyeball of a farsighted person is often shorter than normal.
Many children are born with hyperopia, and some of them "outgrow" it as the eyeball lengthens with normal growth.
Hyperopia Treatment
Depending on the amount of farsightedness you have, you may need to wear your glasses or contacts all the time, or only when reading, working on a computer or doing other close-up work.
Refractive surgery, such as LASIK or PRK, is another option for correcting hyperopia.
Keratoconus
Keratoconus is a rare, progressive disease that affects the cornea, which is the clear, transparent layer at the front of the eye. The cornea is responsible for focusing the light that comes into your eye onto the retina for clear, sharp vision. Keratoconus causes the corneal tissue to thin out and bulge into a cone-like shape which deflects the light entering the eye and distorts vision.
Causes of Keratoconus
The exact cause of keratoconus is not known. The disease usually starts to appear in the late teens or twenties and can affect one or both eyes, usually progressing at a slow pace and slowing or stabilizing after around 10-20 years. It is believed that there is a genetic component as often it runs in families.
New research suggests that there may be a link between keratoconus and oxidative damage which weakens the cornea. There is also an association with overexposure to ultraviolet (UV) radiation from the sun and chronic eye irritation.
Symptoms of Keratoconus
With the gradual change in the shape of the cornea, vision becomes progressively worse. The patient may experience nearsightedness, astigmatism, distorted vision (straight lines look wavy), blurry vision, light sensitivity and glare, and eye redness or swelling. Typically, patient“s eyeglass prescription will change often as the vision becomes worse and contact lenses will be difficult to wear due to discomfort and improper fit.
When keratoconus become more severe (which usually takes a long time however on occasion can happen rather quickly), the cornea can begin to swell and form scar tissue. This scar tissue can result in even further visual distortion and blurred vision.
Treatment for Keratoconus
In the early stages of the disease, standard eyeglasses and soft contact lenses will usually correct the nearsightedness and astigmatism experienced by the patient. As the disease progresses however, glasses and soft contact lenses may no longer correct vision and soft lenses may become uncomfortable. This is when other forms of vision correction will be recommended.
Gas Permeable and Scleral Contact Lenses
At the more advanced stage of keratoconus rigid gas permeable (RGP) contact lenses, scleral or semi-scleral lenses may be used for increased comfort and visual acuity. Since they are more rigid, RGP and scleral lenses are able to create a smooth, round shape around the cornea, creating a smoother surface for better vision. Scleral or semi-scleral lenses have a larger diameter which covers the entire cornea and reaches over into the white part of the eye, which is known as the sclera. Many patients find these more comfortable than regular RGPs and find that they move around less when the eyes move. The main disadvantage of these rigid lenses is that for some, they are somewhat less comfortable than soft lenses and they must be continually refit as the shape of the eye changes.
Whether it is glasses or contact lenses being used to correct vision, patients will likely have to undergo many tests and prescription changes as their vision needs change.
Intacs
Intacs are small, surgically implanted plastic inserts which are placed on the cornea to flatten it back to shape. Usually they are able to restore clear vision, with the continued use of glasses. Intacs are often recommended when contact lenses and eyeglasses are no longer able to correct vision adequately. Intacs take about 10 minutes to insert and can delay the need for corneal transplant.
Corneal Crosslinking (CXL)
In corneal crosslinking, a UV light and eye drops are used to strengthen and stiffen the cornea which helps to reduce bulging and restore the cornea to its natural shape.
Corneal Transplant
When corneal scarring occurs and eyeglasses and contact lenses no longer help, doctors may suggest a corneal transplant to replace the corneal with healthy donor tissue to restore vision. Most patients will still require eyeglasses or contact lenses for clear vision following the transplant.
Keratoconus is a condition that requires ongoing treatment by a qualified eye doctor. If you or a loved one suffers from this disease, schedule an appointment with Optima Eyecare for your ongoing treatment.
Macular Degeneration
Macular degeneration (also called AMD, ARMD, or age-related macular degeneration) is an age-related condition in which the most sensitive part of the retina, called the macula, starts to break down and lose its ability to create clear visual images. The macula is responsible for central vision “ the part of our sight we use to read, drive and recognize faces. So although a person's peripheral vision is left unaffected by AMD, the most important aspect of vision is lost.
AMD is the leading cause of vision loss and blindness in Americans of ages 65 and older. And because older people represent an increasingly larger percentage of the general population, vision loss associated with macular degeneration is a growing problem.
It's estimated that more than 1.75 million U.S. residents currently have significant vision loss from AMD, and that number is expected to grow to almost 3 million by 2020.
The Two Forms of AMD
The dry form of AMD is more common “ about 85% to 90% of all cases of macular degeneration are the dry variety.
Dry macular degeneration. Dry AMD is an early stage of the disease, and may result from the aging and thinning of macular tissues, depositing of pigment in the macula, or a combination of the two processes.
Dry macular degeneration is diagnosed when yellowish spots called drusen begin to accumulate in the macula. Drusen are believed to be deposits or debris from deteriorating macular tissue. Gradual central vision loss may occur with dry AMD. Vision loss from this form of the disease is usually not as severe as that caused by wet AMD.
A major study conducted by the National Eye Institute (NEI) looked into the risk factors for developing macular degeneration and cataracts. The study, called the Age-Related Eye Disease Study (AREDS), showed that high levels of antioxidants and zinc significantly reduce the risk of advanced dry AMD and its associated vision loss.
The AREDS study also indicated that taking high dose formulas containing beta carotene, vitamins C and E and zinc can reduce the risk of early stage AMD progression by 25%.
Wet macular degeneration. Wet AMD is the more advanced and damaging stage of the disease. In about 10% of cases, dry AMD progresses to wet macular degeneration.
With wet AMD, new blood vessels grow beneath the retina and leak blood and fluid. This leakage causes permanent damage to light-sensitive cells in the retina, causing blind spots or a total loss of central vision.
The abnormal blood vessel growth in wet AMD is the body's misguided attempt to create a new network of blood vessels to supply more nutrients and oxygen to the macula. But the process instead creates scarring and central vision loss.
Macular Degeneration Signs and Symptoms
Macular degeneration usually produces a slow, painless loss of vision. Early signs of vision loss associated with AMD can include seeing shadowy areas in your central vision or experiencing unusually fuzzy or distorted vision. In rare cases, AMD may cause a sudden loss of central vision.
Our eye doctors usually can detect early signs of macular degeneration before symptoms occur. Usually this is accomplished through a retinal examination.
What Causes Macular Degeneration?
Many forms of AMD appear be linked to aging and related deterioration of eye tissue crucial for good vision. Research also suggests a gene deficiency may be associated with almost half of all potentially blinding cases of macular degeneration.
Who Gets Macular Degeneration?
Besides affecting older individuals, AMD appears to occur in whites and females in particular. The disease also can result as a side effect of some drugs, and it appears to run in families.
New evidence strongly suggests that smoking is high on the list of risk factors. Other risk factors for AMD include having a family member with AMD, high blood pressure, lighter eye color and obesity. Some researchers believe that over-exposure to sunlight also may be a contributing factor in development of macular degeneration, and a high-fat diet also may be a risk factor.
How is Macular Degeneration Treated?
There is as yet no outright cure for macular degeneration, but some treatments may delay its progression or even improve vision.
There are no FDA-approved treatments for dry AMD, although nutritional intervention may be valuable in preventing its progression to the more advanced, wet form.
For wet AMD, there are several FDA-approved drugs aimed at stopping abnormal blood vessel growth and vision loss from the disease. In some cases, laser treatment of the retina may be recommended. Ask our eye doctors for details about the latest treatment options for wet AMD.
Testing and Low Vision Devices
Although much progress has been made recently in macular degeneration treatment research, complete recovery of vision lost to AMD probably is unlikely. Your eye doctor may ask you to check your vision regularly with an Amsler grid “ a small chart of thin black lines arranged in a grid pattern. AMD causes the line on the grid to appear wavy, distorted or broken. Viewing the Amsler grid separately with each eye helps you monitor your vision loss.
If you have already suffered vision loss from AMD, low vision devices including high magnification reading glasses and hand-held telescopes may help you achieve better vision than regular prescription eyewear.
Myopia
Myopia, or nearsightedness is a very common vision problem. It's estimated that up to one-third of Americans are nearsighted.
Nearsighted people have difficulty reading road signs and seeing distant objects clearly, but can see well for up-close tasks such as reading or sewing.
Signs and Symptoms of Myopia
Nearsighted people often have headaches or eyestrain, and might squint or feel fatigued when driving or playing sports. If you experience these symptoms while wearing your glasses or contact lenses, you may need a stronger prescription.
What Causes Myopia?
Nearsightedness runs in families and usually appears in childhood. This vision problem may stabilize at a certain point, although sometimes it worsens with age.
Myopia Treatment
Nearsightedness may be corrected with glasses, contact lenses or refractive surgery. Depending on the degree of your myopia, you may need to wear eyeglasses or contact lenses all the time, or only when you need sharper distance vision, like when driving, viewing a chalkboard or watching a movie.
If your glasses or contact lens prescription begins with minus numbers, like -2.50, you are nearsighted.
Refractive surgery is another option for correcting myopia. This includes laser procedures such as LASIK and PRK, or non-laser options such as corneal inserts and implantable lenses. One advantage of the non-laser options is that, although they're intended to be permanent, they may be removed in case of a problem or change of prescription.
For more information on myopia, schedule an appointment with Optima Eyecare.
Ocular Hypertension
Ocular hypertension means the pressure in your eye, or your intraocular pressure (IOP), is higher than normal levels. With this condition, the front of the eye does not drain fluid properly. This causes eye pressure to build up. Elevated IOP is also associated with glaucoma, which is a more serious condition that causes vision loss and optic nerve damage. By itself, however, ocular hypertension doesn't damage your vision or eyes.
Studies suggest that 2% to 3% of the general population may have ocular hypertension.
Ocular hypertension is not the same as glaucoma. With high IOP, the optic nerve looks normal and there are no signs of vision loss. However, people with high IOP are considered “glaucoma suspects.“ That means they should have eye exams regularly to be checked for glaucoma.
Signs and Symptoms of Ocular Hypertension
During routine eye exams, a tonometer is used to measure your IOP. Your eye typically is numbed with eye drops, and a small probe gently rests against your eye's surface. Other tonometers direct a puff of air onto your eye's surface to indirectly measure IOP.
What Causes Ocular Hypertension?
Anyone can develop high IOP, but it is most common in African-Americans, people over 40, those with family history of ocular hypertension or glaucoma, and those with diabetes or high amounts of nearsightedness.
IOP may become elevated due to excessive aqueous fluid production or inadequate drainage. Certain medications, such as steroids, and trauma can cause higher-than-normal IOP measurements as well.
Ocular Hypertension Treatment
It is important to lower high eye pressure it before it causes vision loss or damage to the optic nerve.
Depending on your eye pressure, our doctors may decide not to start treatment right away. He or she will monitor pressure with regular testing instead. However, our doctors may decide that you need medicine to lower your intraocular pressure. Eyedrop medicine can lower eye pressure. It is important that you follow the directions exactly for them to work.
In certain circumstances, our doctors may prescribe more than one medicine. They will schedule a visit within several weeks of starting the medicine to see how it is working.
Sometimes, a surgery called laser trabeculoplasty is used to lower eye pressure.
For more information on this topic, schedule an appointment with Optima Eyecare.
Pingueculae
Pingueculae (singular form = piguecula) are yellowish, slightly raised lesions that form on the surface tissue of the white part of your eye (sclera), close to the edge of the cornea. They are typically found in the open space between your eyelids, which also happens to be the area exposed to the sun.
Signs and Symptoms of Pingueculae
In most people, pingueculae cause few symptoms. However, a pinguecula that is irritated might create a feeling that something is in the eye “ called a foreign body sensation. In some cases, pingueculae can become swollen and inflamed, a condition called pingueculitis. Irritation and eye redness from pingueculitis usually result from exposure to sun, wind, dust, or extremely dry conditions.
Treatment of Pingueculae
The treatment for pingueculae depends on the severity of the growth and its symptoms. Everyone with pingueculae can benefit from sun protection for their eyes. Lubricating eye drops may be prescribed for those with mild pingueculitis to relieve dry eye irritation and foreign body sensation. To relieve significant inflammation and swelling, steroid eye drops or non-steroidal anti-inflammatory drugs may be needed.
Surgical removal of the pinguecula may be considered in severe cases where there is interference with vision, contact lens wear or normal blinking.
Frequently, pingueculae can lead to the formation of pterygia.
Pterygia
Pterygia (singular form = pterygium) are wedge- or wing-shaped growths of benign fibrous tissue on the surface tissue of the sclera. Because pterygia also contain blood vessels, they are considered a fibrovascular growth. In extreme cases, pterygia may grow onto the eye's cornea and interfere with vision.
Because a pterygium is usually quite visible to others, a person who has one may become concerned about their personal appearance. As with pingueculae, prolonged exposure to ultraviolet light from the sun may play a role in the formation of pterygia.
Signs and Symptoms of Pterygia
Many people with pterygia do not experience symptoms or require treatment. Some pterygia may become red and swollen on occasion, and some may become large or thick. This may cause concern about appearance or create a feeling of having a foreign body in the eye. Large and advanced pterygia can actually cause a distortion of the surface of the cornea and induce astigmatism and blurred vision.
How Pterygia are Treated
The pterygia may be removed in a procedure room at the doctor's office or in an operating room setting. A number of surgical techniques are currently used to remove pterygia, and it is up to our eye doctors to determine the best procedure for you.
After the procedure, which usually lasts no longer than 30 minutes, you may need to wear an eye patch for protection for a day or two. For uncomplicated surgery, you should be able to return to work or normal activities the next day.
Unfortunately, pterygia often return after surgical removal. In fact, the recurrence rate can be as high as 40%. To prevent regrowth after the pterygium is surgically removed, your eye surgeon may suture or glue a piece of surface eye tissue onto the affected area. This method, called autologous conjunctival autografting, is safe and lowers the chance of the pterygium growing back. After removal of the pterygium, steroid eye drops may be used for several weeks to decrease swelling and prevent regrowth.
It is important to note that pterygium removal can also induce astigmatism, especially in patients who already have astigmatism.
For more information on pingueculae, schedule an appointment with Optima Eyecare.
Pink Eye (Conjunctivitis)
However, the term "pink eye" is often used to refer to any or all types of conjunctivitis, not just its acute, contagious form.
Signs and Symptoms of Pink Eye
How can you tell what type of pink eye you have? The way your eyes feel will provide some clues:
- Viral conjunctivitis usually causes excessive eye watering and a light discharge.
- Bacterial conjunctivitis often causes a thick, sticky discharge, sometimes greenish.
- Allergic conjunctivitis affects both eyes and causes itching and redness in the eyes and sometimes the nose, as well as excessive tearing.
- Giant papillary conjunctivitis (GPC) usually affects both eyes and causes contact lens intolerance, itching, a heavy discharge, tearing and red bumps on the underside of the eyelids.
To pinpoint the cause and then choose an appropriate treatment, our eye doctors will ask some questions, examine your eyes and possibly collect a sample on a swab to send out for analysis.
What Causes Pink Eye?
Though pink eye can affect people of any age, it is especially common among preschoolers and school children because of the amount of bacteria transferred among children.
Conjunctivitis may also be triggered by a virus, an allergic reaction (to dust, pollen, smoke, fumes or chemicals) or, in the case of giant papillary conjunctivitis, a foreign body on the eye, typically a contact lens. Bacterial and viral infections elsewhere in the body may also induce conjunctivitis.
Treatment of Pink Eye
Avoidance. Your first line of defense is to avoid the cause of conjunctivitis, such as contaminated hand towels. Both viral and bacterial conjunctivitis, which can be caused by airborne sources, spread easily to others.
To avoid allergic conjunctivitis, keep windows and doors closed on days when the airborne pollen count is high. Dust and vacuum frequently to eliminate potential allergens in the home.
Stay in well-ventilated areas if you're exposed to smoke, chemicals or fumes. If you do experience exposure to these substances, cold compresses over your closed eyes can be very soothing.
If you've developed giant papillary conjunctivitis, odds are that you're a contact lens wearer. You'll need to stop wearing your contact lenses, at least for a little while. Our eye doctors may also recommend that you switch to a different type of contact lens, to reduce the chance of the conjunctivitis coming back.
Medication. Unless there's some special reason to do so, eye doctors don't normally prescribe medication for viral conjunctivitis, because it usually clears up on its own within a few days. Your eye doctor might prescribe an astringent to keep your eyes clean, to prevent a bacterial infection from starting. Another common prescription is for artificial tears, to relieve dryness and discomfort.
Antibiotic eyedrops or ointments will alleviate most forms of bacterial conjunctivitis, while antibiotic tablets are used for certain infections that originate elsewhere in the body.
Antihistamine allergy pills or eyedrops will help control allergic conjunctivitis symptoms. In addition, artificial tears provide comfort, but they also protect the eye's surface from allergens and dilute the allergens that are present in the tear film.
For giant papillary conjunctivitis, your doctor may prescribe eyedrops to reduce inflammation and itching.
Usually conjunctivitis is a minor eye infection. But sometimes it can develop into a more serious condition. See your eye doctor for a diagnosis before using any eye drops in your medicine cabinet from previous infections or eye problems.
Prevention Tips
Because young children often are in close contact in day care centers and school rooms, it can be difficult to avoid the spread of bacteria causing pink eye. However, these tips can help concerned parents, day care workers and teachers reduce the possibility of a pink eye outbreak in institutional environments:
- Adults in school and day care centers should wash their hands frequently and encourage children to do the same. Soap should always be available for hand washing.
- Personal items, including hand towels, should never be shared at school or at home.
- Encourage children to use tissues and cover their mouths and noses when they sneeze or cough.
- Discourage eye rubbing and touching, to avoid spread of bacteria and viruses.
- For about three to five days, children (and adults) diagnosed with pink eye should avoid crowded conditions where the infection could easily spread.
- Use antiseptic and/or antibacterial solutions to clean and wipe surfaces that children or adults come in contact with, such as common toys, table tops, drinking fountains, sink/faucet handles, etc.
For more information on pink eye, schedule an appointment with Optima Eyecare.
Presbyopia
As we reach middle age, particularly after age 40, it is common to start to experience difficulty with reading and performing other tasks that require near vision. This is because with age, the lens of our eye becomes increasingly inflexible, making it harder to focus on close objects. This condition is called presbyopia and eventually it happens to everyone who reaches old age to some extent.
To avoid eyestrain, people with untreated presbyopia tend to hold books, magazines, newspapers, and menus at arm“s length in order to focus properly. Trying to performing tasks at close range can sometimes cause headaches, eye strain or fatigue in individuals who have developed this condition.
Causes of Presbyopia
During our youth, the lens of our eye and the muscles that control it are flexible and soft, allowing us to focus on close objects and shift focus from close to distant objects without difficulty. As the eye ages however, both the lens and the muscle fibers begin to harden, making near vision a greater challenge.
Presbyopia is a natural result of the aging process and not much can be done to prevent it. Its onset has nothing to do with whether you already have another vision impairment such as nearsightedness, farsightedness or astigmatism. Everyone will notice some degree of loss of near vision focusing power as they age, although for some it will be more significant than others.
Symptoms and Signs of Presbyopia
Presbyopia is characterized by:
- Difficulty focusing on small print
- Blurred near vision
- Experiencing eyestrain, fatigue or headaches when doing close work or reading
- Needing to hold reading material or small objects at a distance to focus properly
- Requiring brighter lighting when focusing on near objects
Presbyopia can be diagnosed in a comprehensive eye exam.
Treatment for Presbyopia
There are a number of options available for treating presbyopia including corrective eyewear, contact lenses or surgery.
Eyeglasses
Reading glasses or “readers“ are basically magnifying glasses that are worn when reading or doing close work that allow you focus on close objects.
Eyeglasses with bifocal or multifocal lenses such as progressive addition lenses or PALs are a common solution for those with presbyopia that also have refractive error (nearsightedness, farsightedness or astigmatism). Bifocals have lenses with two lens prescriptions; one area (usually the upper portion) for distance vision and the second area for near vision. Progressive addition lenses or PALs similarly provide lens power for both near and distance vision but rather than being divided into two hemispheres, they are made with a gradual transition of lens powers for viewing at different distances. Many individuals prefer PALs because unlike bifocals, they do not have a visible division line on the lens.
Bifocal and Multifocal Contact Lenses
For individuals that prefer contact lenses to glasses, bifocal and multifocal lenses are also available in contact lenses in both soft and Rigid Gas Permeable (RGP) varieties.
Multifocal contact lenses give you added freedom over glasses and they allow you to be able to view any direction “ up, down and to the sides “ with similar vision. People wearing progressive lenses in glasses on the other hand have to look over their glasses if they want to view upwards or into the distance.
Another option for those that prefer contact lenses is monovision. Monovision splits your distance and near vision between your eyes, using your dominant eye for distance vision and your non-dominant eye for near vision. Typically you will use single vision lenses in each eye however sometimes the dominant eye will use a single vision lens while a multifocal lens will be used in the other eye for intermediate and near vision. This is called modified monovision. Your eye doctor will perform a test to determine which type of lens is best suited for each eye and optimal vision.
Surgery
There are surgical procedures also available for treatment of presbyopia including monovision LASIK eye surgery, conductive keratoplasty (CK), corneal inlays or onlays or a refractive lens exchange (RLE) which replaces the hardened lens in the eye with an intraocular lens (IOL) similar to cataract surgery.
Since it affects so much of the older population, much research and development is going into creating more and better options for presbyopes. Speak to our eye doctors about the options that will work best for you.
Ptosis
Ptosis (pronounced "toe-sis") refers to the drooping of an eyelid. It affects only the upper eyelid of one or both eyes. The droop may be barely noticeable, or the lid can descend over the entire pupil. Ptosis can occur in both children and adults, but happens most often due to aging.
Ptosis Signs and Symptoms
The degree of droopiness varies from one person to the next. If you think you may have ptosis, compare a recent photo of your face to one from 10 or 20 years ago to see if there is a noticeable change in the position of your upper eyelids.
Ptosis can look similar to dermatochalasis, a group of connective tissue diseases that cause skin to hang in folds. These diseases are associated with less-than-normal elastic tissue formation. Our eye doctors should be able to tell whether or not this is the cause of your drooping eyelids.
What Causes Ptosis?
Ptosis can be present at birth (congenital ptosis), or develop due to aging, injury or an aftereffect of cataract or other eye surgery. This condition can also be caused by a problem with the muscles that raise the eyelid, called levator muscles. Sometimes an individual's facial anatomy causes difficulties with the levator muscles. An eye tumor, neurological disorder or systemic disease like diabetes may also cause drooping eyelids.
How is Ptosis Treated?
Surgery is usually the best treatment for drooping eyelids. The surgeon tightens the levator muscles to restore the eyelids to their normal position. In very severe cases involving weakened levator muscles, the surgeon attaches the eyelid under the eyebrow to allow the forehead muscles to substitute for the levator muscles in lifting the eyelid. Eyelid surgery is also known as blepharoplasty.
After surgery, the eyelids may not appear symmetrical, even though the lids are higher than before surgery. Very rarely, eyelid movement may be lost.
It is important to choose your blepharoplasty surgeon carefully, since a poorly-done surgery could result in a less than desirable appearance or in dry eyes caused by your lids not being able to close properly after surgery. Before agreeing to ptosis surgery, ask how many procedures your surgeon has done. Also ask to see before-and-after photos of previous patients, and ask if you can talk to any of them about their experience.
Ptosis in Children
Children born with moderate or severe ptosis require treatment in order for proper vision to develop. Failure to treat ptosis can result in amblyopia (diminished vision in one eye) and a lifetime of poor vision. All children with ptosis, even mild cases, should visit their eyecare practitioner every year so the doctor can monitor lid positioning and potential vision problems caused by congenital ptosis.
For more information on eye conditions and diseases, schedule an appointment with Optima Eyecare.
Retinal Detachment
Signs and Symptoms of Retinal Detachment
There is no pain associated with retinal detachment. If you experience any of the above symptoms, consult our eye doctors right away. Immediate treatment increases your odds of regaining lost vision.
What Causes Rretinal Detachments?
On rare occasions, retinal detachment may occur after LASIK surgery in highly nearsighted individuals. In a study of more than 1,500 LASIK patients, just four suffered retinal detachment; their pre-LASIK prescriptions ranged from -8.00 D to -27.50 D.
Treatment for Retinal Tears and Detachments
Surgery is the only effective treatment for a torn or detached retina. The procedure or combination of procedures your doctor uses depends on the severity and location of the problem.
Laser surgery. Also called photocoagulation, laser surgery is generally used for retinal breaks and tears that have not yet become retinal detachments. The surgeon directs a laser beam into your eye through the pupil to “spot weld“ the damaged retina to its underlying tissue. Photocoagulation requires no surgical incision and causes less irritation to the eye than other treatments.
Cryopexy. In this treatment, the surgeon applies a freezing probe to the outer surface of the eye over the area of defective retina. The scarring that occurs from the freezing reattaches the retina to its support tissue.
Pneumatic retinopexy. This surgery is generally used to treat a retinal detachment in the upper half of the retina. The surgeon injects an expandable gas bubble inside the eye, positioning the bubble over the torn and detached retina. As the gas bubble expands, it pushes the detached retina against its support tissue. The surgeon then may use laser photocoagulation or cryopexy to firmly reattach the retina to the underlying tissue. Over time, your body absorbs the gas bubble. Until that occurs, certain precautions are necessary.
In a variation of pneumatic retinopexy, the surgeon may inject silicone oil rather than expandable gas into the eye to press the detached retina against its support tissue. In this procedure, the silicone oil must be removed from the eye after the retina is reattached.
Scleral buckling. This is the most common surgery used to treat a retinal detachment. In this procedure, the surgeon places a soft silicone band around the eye, which indents the outside of the eye toward the detached retina. The band is sutured against the tough outer white coating of the eye (the sclera). The surgeon then drains any fluid between the retina and its support tissue, and reattaches the retina with laser photocoagulation or cryopexy.
In about 90% of cases, detached retinas are successfully reattached with a single surgery. However, this does not mean your vision will return to normal. Patients who have the best visual outcomes from retinal detachment surgery are those who seek attention immediately upon noticing symptoms and have detachments that do not involve the central retina (the macula).
For more information on retinal detachment, schedule an appointment with Optima Eyecare.
Retinitis Pigmentosa
Retinitis pigmentosa (RP) is a rare, inherited eye disease in which the light-sensitive retina slowly and progressively degenerates. This causes progressive peripheral vision loss, night blindness, central vision loss and, in some cases, blindness.
RP affects approximately 1 out of every 4,000 Americans.
Signs and Symptoms of Retinitis Pigmentosa
"Night blindness" is the primary symptom of the disease in its early stages. During later stages of retinitis pigmentosa, tunnel vision can develop, with only a small area of central vision remaining.
In one study of RP patients who were at least 45 years old, 52% had 20/40 or better central vision in at least one eye, 25% had 20/200 or worse vision and 0.5% had no light perception (total blindness).
What Causes RP?
Not much is known about what causes retinitis pigmentosa, except that the disease is inherited. It is now believed that RP can be caused by molecular defects in 100 different genes, causing significant variations in the disease from person to person.
Even if your mother and father don't have RP, you can still have the eye disease when at least one parent carries an altered gene associated with the trait. In fact, about 1% of the population can be considered carriers of recessive genetic tendencies for RP that, in certain circumstances, can be passed on to a child who then develops the disease.
In RP, the light-sensitive cells in the retina gradually die. Usually, cells called rods are primarily affected. These cells are needed for night vision and peripheral vision. However, other cells called cones can also be affected. Cone cells are responsible for our central vision and color vision.
Retinitis Pigmentosa Tests and Treatment
Visual field testing likely will be done to determine the extent of peripheral vision loss. Other eye exams may be conducted to determine whether you have lost night vision or color vision.
No treatments currently are available for retinitis pigmentosa, although some practitioners believe that vitamin A supplements may delay vision loss.
Researchers are looking into ways to treat RP in the future, such as retinal implants and drug treatments.
For more information on retinitis pigmentosa, schedule an appointment with Optima Eyecare.
Styes
A stye (known by eye doctors as a hordeolum) is an infection of an oil gland which forms a pimple-like bump on the base of the eyelid or within the eyelid itself. Styes can be uncomfortable, causing swelling, pain, redness, discomfort, and sometimes excessive tearing. If the stye is large and it distorts the front surface of the eyes, it can cause blurred vision.
What Causes a Stye?
The oil glands on the eyelid sometimes become blocked with dirt, dead skin, or a buildup of oil. When this occurs, bacteria can grow inside. Blockage is also commonly from eye cosmetics that block the orifices within the lid. This blockage causes the gland to become infected and inflamed, resulting in a stye. A stye can form on the inside or the outside of the eyelid and can cause swelling around the eye, sometimes affecting the entire eyelid.
Treating a Stye
Styes are treated with antibiotics, often in moderate and severe cases with a prescription for oral antibiotics to reduce the bacteria responsible for the infection. Treatment for a stye is recommended otherwise there is a likelihood of recurrence. Applying a hot compress to the eye for 10-15 minutes a few times throughout the day will bring some relief and speed up the healing process.
Similar to a pimple, the stye will likely rupture, drain and heal on its own. Occasionally a stye, especially one on the inside of the eyelid will not resolve itself and may require the assistance of our eye doctors for additional treatment. In such a case the stye is surgically opened and drained to reduce the swelling and cosmetic issues associated with the style.
You should never pop a stye! This can cause the bacteria to spread and worsen the infection. The infection can then spread around the top and bottom eyelids and even reach the brain. If a stye is getting worse, painful, or irritated, contact your eye doctor for treatment.
In cases where styes occur frequently, your eye doctor may decide to prescribe topical antibiotic ointment or a cleansing regimen to prevent recurrence.
Uveitis
Uveitis is a general term for an inflammatory response in the eye that can be caused by a broad range of diseases or conditions. It is called this because the area that is inflamed is the uvea, although the condition can also affect other areas in the eye such as the lens, the optic nerve, the retina and the vitreous. Uveitis can cause swelling and tissue damage and lead to reduced vision or in more serious cases, even blindness.
What is the Uvea?
The uvea is a layer in the middle of the eye containing three main elements including: the choroid, which is a network of small blood vessels which provides nutrients to the retina; the iris, which is the colored layer around the pupil; and the ciliary body which produces fluid to shape the lens and provide nutrients to keep it healthy.
Types of Uveitis
Uveitis is classified by four different types, depending on the location of the inflammation within the eye. Anterior uveitis, which is the most common form, is when the iris is inflamed, sometimes in combination with the ciliary body. Intermediate uveitis is inflammation of the ciliary body and posterior uveitis is when the choroid is inflamed. When the entire uvea is inflamed, this is called diffuse or pan-uveitis.
Symptoms of Uveitis
Uveitis generally affects individuals between the ages of 20 and 50 and can present a variety of symptoms depending on the cause. The condition can affect one or both eyes and sometimes the symptoms can come on very rapidly. They include:
- Blurred vision
- Eye pain
- Red eyes
- Light sensitivity
- Seeing floaters in the field of view
If you experiences these symptoms seek medical attention immediately. Uveitis is usually a chronic disease which can lead to vision loss as well as other eye problems such as glaucoma, retinal detachment and cataracts.
Causes of Uveitis
The cause of the condition is still somewhat of a mystery. It is often found in connection with eye injuries, viral infections, toxins or tumors in the eye or with systemic autoimmune disorders (such as AIDS, rheumatoid arthritis or psoriasis), or inflammatory disorders (such as Crohn“s disease, colitis or Multiple Sclerosis).
Treatment for Uveitis
Treatment is designed to reduce and eliminate inflammation and pain and to prevent damage to the tissues within the eye, as well as to restore and prevent vision loss. The inflammation is typically treated with anti-inflammatory steroid eye drops, pills, dissolving capsules or injections, depending on where the condition presents in the eye. Additional medications or treatments may be prescribed depending on the cause of the condition. For example, when the cause is an autoimmune disease, immunosuppressant medications may also be used. If there is a viral infection or elevated intraocular pressure, appropriate medications will be given to treat those issues. Often uveitis is a chronic disease so it“s important to see the eye doctor any time the symptoms appear.
Contact Info
6365 Halcyon Way
Suite 935
Alpharetta, GA
30005
470.253.0774
info@optima-eye.com
